What unique feature does my office offer?
My office has a same-day crown machine, which allows patients to have their tooth prepared, crown made, and crown delivered all in one visit.
How do crowns differ from fillings?
Crowns are caps for the tooth used when a cavity is usually more than half the tooth or a corner of the tooth is taken out. They are harder, stronger, and last longer than a filling by about three times.
When might a crown be necessary?
A crown might be necessary when a filling is not sufficient for a tooth, or for any posterior teeth that have had root canals or endodontic therapy.
What types of crowns are commonly used today?
Nowadays, most crowns are made from ceramic, the two most common being zirconia and lithium disilicate, which is a reinforced glass.
How does the process for getting a crown start?
The process for getting a crown starts similarly to a filling. The decay is removed from the tooth, then the tooth is shaped about a millimeter to a millimeter and a half off the side. A crown is essentially an enamel replacement. I may get decayed at the edges, as nothing lasts forever. However, a crown does last three times longer than a filling and it is a lot stronger. A crown is an ideal solution when a certain amount of the tooth has been compromised to the point that we can’t do a filling anymore.
Do crowns look like natural teeth?
They should look like natural teeth. Teeth are unique in various ways, and nothing will ever be as good as your natural teeth. However, crowns are getting very close to mimicking a natural tooth structure enamel, and with custom blazing from the lab, no one will notice you have a crown.
How do I take care of my crown?
You take care of a crown just like you would for your natural teeth, by brushing, flossing, and having regular dental cleanings. There are no restrictions after the dental crown procedure.
How long does a crown typically last?
A crown typically lasts three times longer than fillings, with the average crown lasting five to seven years. However, with good care, a crown could last 15 years or more.
Does dental insurance typically cover crowns?
Yes, dental insurance typically covers crowns as they are the standard of care for root canal treated teeth if more than half the tooth is gone or if a corner of the tooth is missing.
You can contact me at (703) 451-4500 for more information about crowns and my same-day crown machine.
Get your crowns in one visit!
Our patients enjoy the convenience of getting their crowns in one visit, without a temporary, or need to return for another visit.
CEREC (Chairside Economical Restoration of Esthetic Ceramics) is a revolutionary system that allows your dentist to design, create and fit a new crown, veneer, onlay or inlay in a single visit. This procedure would normally take up to three weeks at the lab.
The multi-instrument CEREC system is a CAD (Computer Aided Design) / CAM (Computer Aided Manufacturing) system that consists of a digital camera, a computer with 3-D imaging software, and a milling unit for quick, precise, and highly detailed milling of crowns and other restorations.
This system allows Dr. Dulac to make your crown while you wait at the office without need to return for another visit.
Check out how strong our crowns are!
I've seen those videos and was intrigued enough to test it out myself. I crafted a crown at my office using the same-day crown machine that I typically use. I then proceeded to hammer the crown into a board using an 8-ounce hammer. The results were quite impressive. I had expected the crown to penetrate deeper into the board, but it bent as it went in. Nonetheless, this was an interesting outcome. After extracting it from the board, the crown remained intact, which confirmed to me that the process does indeed work quite well.
Patient Testimonial
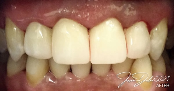
Before & After:
Our patient had a job interview next week and didn’t feel comfortable with the appearance of his smile. We fixed his teeth with root canals and crowns in a single visit so he could go to his interview feeling his best. At Dulac Dental we have a same-day crown machine so you don’t have to wait in a temporary for the lab to finish your crown, drive back, and get numb again to get your crowns. Dr. Dulac also has additional training in root canals so we don’t need to refer you to another office for that procedure. Dr Dulac is in the 15% of dentists nationally who have a milling machine to make crowns in the office.


Our patient had some older and discolored teeth and bonding from trauma when she was younger that were failing and needed to be replaced. We fixed her front two teeth with crowns so she could smile with confidence again.



