What causes cavities and how can they be prevented?
Cavities are caused by a type of bacteria in the mouth that, when exposed to sugar, produces acid for 20 minutes. This acid dissolves the tooth and creates a cavity. Prevention strategies include brushing and flossing to remove the plaque (a layer of bacteria) from the teeth and using fluoride, which makes teeth more resistant to decay. I recommend professional fluoride application, using fluoride toothpaste, and a home fluoride mouth rinse. Another product that can help is MI paste, a calcium phosphate paste that can help remineralize teeth, although it is more expensive than fluoride.
How does diet impact cavity formation?
Frequent exposure to sugar in your diet is the main cause of cavities. This means you could be eating something like a bag of Skittles at each meal without causing cavities, as long as you're not extending the eating period. As soon as the bacteria in your mouth gets sugar, it produces acid for 20 minutes. If you're continuously eating sugar throughout the day, your saliva can't buffer out the acid, leading to cavities. Sports drinks, energy drinks, Gatorade, soda, and even real lemon in water or tea can contribute to cavity formation due to their sugar content. Therefore, if you're sipping on coffee or tea throughout the day, ensure it's sugar-free, lemon-free, or contains an artificial sweetener to prevent cavities.
What role do certain medications play in the formation of cavities?
Certain medications can cause dry mouth, which places you at a higher risk for decay. If you experience dry mouth, make sure you're hydrated and consider talking to your doctor about changing medications. There are also over-the-counter products like Biotene and some newer prescription medications that can help with salivary flow.
Can cavities form around fillings and crowns?
Yes, cavities can still form at the edge of a crown or filling. Over time, there can be differential wear between the filling and the tooth, leading to a small gap where bacteria and fluids can get in and cause a secondary cavity.
What are some best practices for preventing cavities?
Regular brushing and flossing, using fluoride, and keeping sugar consumption to mealtimes are all key for preventing cavities. Additionally, regular dental checkups are important for catching small cavities that you can't feel.
Why would a dentist recommend a filling?
A dentist would recommend a filling if you have a small cavity that can be easily patched, or if you have a small chip that can also be easily patched. A filling is essentially a patch for a tooth. However, you need a majority of tooth structure remaining for it to be possible. If more than half of the tooth or specific parts of the tooth are gone, then you'd need something else, like a crown.
Are there alternatives to fillings?
Sometimes, if the need for a filling is due to sensitivity, there are root desensitizers available. Or if it's a very shallow cavity on the root surface, we can use a sealer medicine which works four out of five times. However, once the cavity gets into the tooth, like a millimeter, it has to be physically removed and a filling or a crown is required if the cavity is too big for a filling.
What are the pros and cons of different filling materials?
In our office, we only do tooth-colored fillings, as we no longer do silver fillings. Silver fillings do last for a while, but they expand when they set, often causing cracks through the teeth. With tooth-colored fillings, you can fill the tooth multiple times. But with a silver filling, once it cracks the tooth, the next step is a crown.
What's the procedure for getting a filling?
If you have a cavity or other reason you need a filling, we'll schedule an appointment at the office, get you numb, do the filling, and set it. You can eat or drink whatever you want when you leave the office, just be careful because of the numbing. Fillings don't take long at all and they're totally set when you leave the office.
Is a dental filling painful?
The only thing you'll feel in our office for any procedure is the numbing. Some patients choose not to get numb, which I don't recommend, as it can be sensitive once we get into the inner part of the tooth. But I recommend anesthesia for all procedures. And once you're numb, you're not going to feel anything.
Do fillings permanently fix cavities?
Fillings remove cavities and address that problem. However, other areas of the tooth can still get a cavity or you can get a secondary cavity around the edge. So prevention is important. We do have sedation available at the office, along with other comfort aids like pillows, blankets, headphones, noise cancelling headphones, and stress balls.
Does the filling have any side effects?
After the procedure, the tooth might be a little sensitive, but that usually goes away on its own. If the bite's off or anything feels rough after the procedure's done, please give us a call at the office. We'll get that adjusted for you. All the fillings we're placing in the office are tooth colored, so they will match the tooth. They come in a couple different colors, and usually when you're doing a filling, it kind of pulls the light and surrounding color from the tooth.
How can I contact you if I think I might need a filling?
If you need a filling or think you might need one, give us a call at the office. Dulac Dental in Springfield can be reached at (703) 451-4500. We look forward to seeing you at the office soon.
Patient Testimonial:
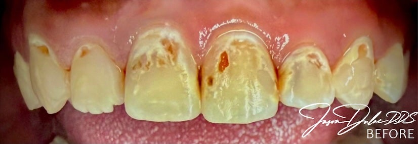
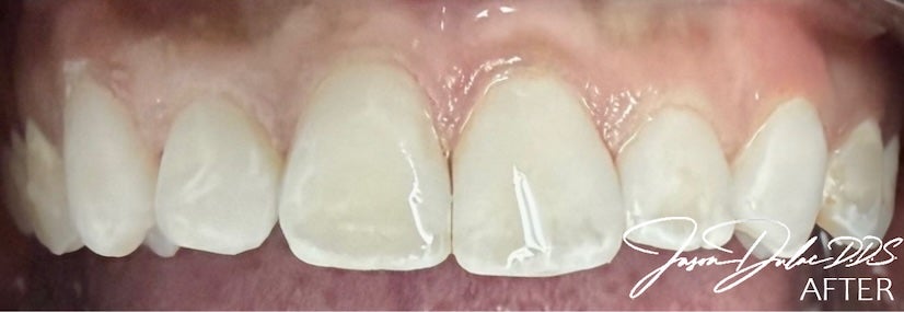
Before & After:

